營業時間:9:00-12:00/14:00-20:30
0227606000
允品牙醫診所
YUNPIN DENTAL CLINIC
選單
關於我們
醫師介紹
治療項目
案例分享
醫療設備
聯絡資訊
更多
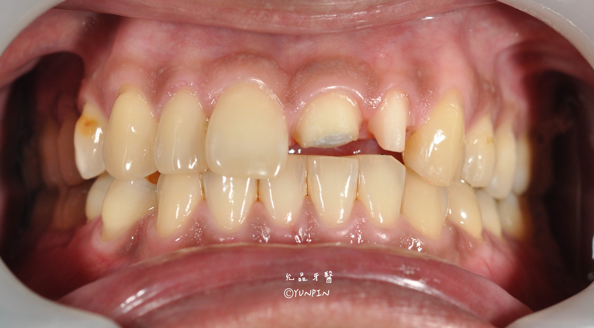
前牙假牙膺復案例
2025-06-11
患者主訴跌倒撞斷左上正中門牙及側門牙,美觀上較不佳,
協助使用假牙完成前牙區斷牙重建。
X光拍攝
口內實際狀況
型態修磨
完成膺復
Share
Tweet
我們使用了 cookies 來確保我們網站的運作正常與安全性,並為您提供最佳的使用體驗。
僅接受必要的
接受全部
進階設定
您可以在此自訂您的 cookie 偏好。啟用或關閉以下這些類別,並儲存您的選擇。
必要 cookies
必要 cookies 對於網站與註冊過程的安全性和正確運作都至關重要。
功能性 cookies
功能性 cookies 會儲存並啟用您在網站上的 cookie 偏好。
效能性 cookies
效能性 cookies 能夠幫助觀察網站的表現狀況。
行銷性/第三方 cookies
行銷性 cookies 能夠讓我們衡量與分析網站的成效。